My client Vikki had her most recent MRI scan today on her brain. The last one done 13th December 2022.

She came to me in early November of 2022, suffering with chronic migraines, which she had coped with her whole life. She had been taking painkillers on a consistent basis for years.
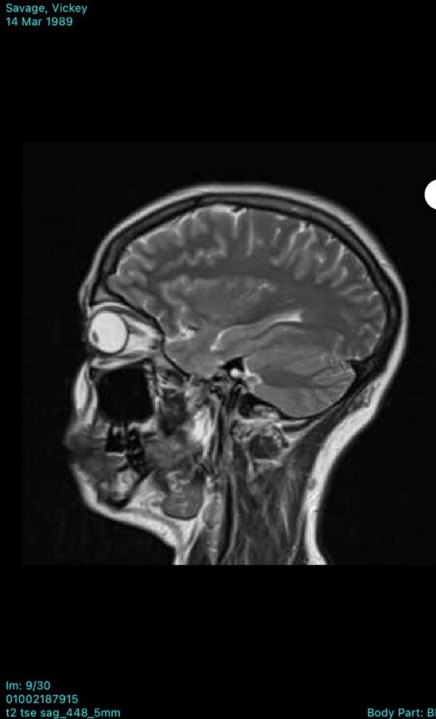
In December 2022, we later found out that there was a 13 mm cystic lesion on her pineal gland, in the limbic area of the brain, left sided. Below you will see her MRI scans from showing the cyst.
The pineal is a tiny endocrine gland that produces melatonin, a serotonin derived hormone. This hormone is essential to regulate and synchronise your body’s circadian rhythms (physical, mental and behavioural changes that follow a 24-hour cycle). We need melatonin for inducing sleep and thus it has huge role in aiding recovery, recovery in sleep, regeneration of cells, slowing HR down and increasing HRV levels. It plays a pivotal role in the distribution and regulation of energy metabolism, glycogen synthesis and homeostasis.

The low melatonin levels meant she was getting a mere 4-5 hours of sleep a night, poor deep sleep, poor recovery, and hence walking around like a zombie most days. Not to mention she is a working mammy of 2!
The other various hormonal and biochemical issues going on internally also manifested into Endometriosis in the womb, as well as disembodiment and living in a state of chronic fear. Vikki’s nervous system and internal state was highly dysregulated and misaligned. Her hormones were imbalanced. This being the result of lifelong cycles of stress mobilisation and hardwiring to sympathetic response. Truth being told, like most of us who experienced conditioning into a capitalist Ego run world.
She decided to go all in on, and enrolled in 12 month long nervous system regulation and somatic clearing process with me. She worked at a monthly capacity, on coaching, where I guided her through her somatic realignment process. Since November 2022, she has had NO migraines or headaches and has NOT taken a painkiller (or any medication in fact) since before working with Danielle and beginning her neuroplasticity process.
Read what she has to say…
“I’ve had Migraines my whole life more or less. The pain was excruciating… it felt like a knife in my forehead and behind my eyes
I remember in my teenage years I literally was bed bound for at least 3 days every month and took medication (Panadol Extra/ Neurofen) constantly to relieve the pain.
If I ever felt the slightest headache appearing I would immediately take a Panadol to try and relieve any symptoms so it wouldn’t result in a Migraine.
I informed my GP in my teenage years about this, which she stated that it could possibly be due to diet/hormones/ sleep/ stress. No one ever finding and treating the root cause, however. Which meant I stayed in suffering.
I then started to self medicate over the years. An old friend of mine, their dad suggested Solpadol, which contains codeine and can be addictive. I then became reliant on them, as they alleviated my symptoms.
I was running on about 4-5hrs sleep per night. Even when I had the kids and they were small. When I had a migraine I would not be able to attend school as a teen or work as an adult. I would need to lie in my bed, in a dark room. I would regularly vomit also when they were extremely intense.

Since working with Danielle over the past 12-14 months, working towards regulating my nervous system and healing my Vagus Nerve, I am in the best health wise I’ve ever felt in my life!
I feel calm, safe and confident. I haven’t taken a pain killer since November 2022. No word of a lie! I’m braver than I think I am. If I can help even just one person realise that they are the medicine, and realise that healing is possible, makes me smile from ear to ear.
The power of the Vagus Nerve and My Beautiful Friend Danielle Hayes”
Vikki had a recent appointment visit with her Neurologist at the Migraine Clinic in Santry Dublin. He was blown away by her feedback, and the fact that she is medication FREE, and migraine FREE. This particular specialist works in conjunction with the Neurology team at Beaumont Hospital in Dublin. She informed the specialist that she has had no migraines in over a year now, having suffered with them since early teen years.
No one helped her find the root cause and underlying issue causing the migraines. Assumptions were made and prescriptions were written. That is until September 2022, when she was lead to Firefly. And her whole life trajectory changed for her and her family.
The pineal cyst in her mid brain has decreased in size, which they are also blown away by. The cyst was causing irritation to brain tissue and nerves. All physiologically induced via constant mobilisation of stressors! Through bringing down her sympathetic levels, signalling the Vagus Nerve, and inducing anti inflammatory and anti aging responses, this has been the outcome.
She is the healthiest she has ever been in mind, body, soul, in her entire life thus far!




Leave a Reply